Dentist Bismarck
“He is the best!”
– Patty, 5-Star Google Review
- More than 150 5-star reviews
- Trained with industry leaders
- 1st in the area to offer laser dentistry
- A gallery full of stunning results



Looking for a Dentist? Contact Us Today
Routine oral exams can help you maintain beautiful and healthy teeth that last a lifetime. Dr. Heringer can also achieve natural-looking results for individuals that need cosmetic or restorative work. To schedule an appointment at Heringer Dentistry, contact us online or call us in Bismarck, ND, at:
"I have been going to Heringer Dentistry my whole life. They have taken great care of my teeth, because of their great care I have needed minimal work on them. The staff is very friendly and treats their patients well."
See What's Possible With Mike's Transformation
Meet Everett Heringer, DDS A Top Dentist in Bismarck
Dr. Everett E. Heringer is a North Dakota native who earned his dental degree from Northwestern University School of Dentistry in Chicago. He went on to serve as a Navy dentist for two years at Camp Pendleton in California. He then returned to North Dakota to open his private practice in Bismarck.
Today, Dr. Heringer is committed to continuing education to ensure that you and your loved ones benefit from the latest dental technologies and techniques.
“When it comes right down to it, we just want to celebrate life and celebrate smiles, and we want to use the art and the vehicle of dentistry to do it.” — Dr. Everett E. Heringer

Meet Kate Hixson, DDS A Bismarck Native

Dr. Kate Hixson is a Bismarck native who earned her dental degree from Creighton University School of Dentistry in Omaha. After beginning her career in Montana, she returned home in 2023 to raise her family and serve the community she grew up in.
Dr. Hixson provides comprehensive care with a special focus on endodontics, implant dentistry, and surgery. She is dedicated to helping patients achieve their oral health goals with advanced techniques and personalized attention.
We're excited to welcome Dr. Hixson to Heringer Dentistry, where she'll be serving the friends and neighbors she grew up with in the Bismarck community.
Our Doctors' Professional Affiliations
What Makes Heringer Dentistry Special?
High Praise From a Happy Patient
“After what seemed like a lifetime of searching for my perfect smile, Dr. Heringer gave me just that and then some. After one consultation my husband and I were so impressed we both chose Heringer for all of our dental care. Dr. Heringer and his staff provide a level of care and knowledge unlike anything else.”
— Sarah, 5-Star Google Review
Featured Services
To learn more about our featured services, or any of the other procedures that we offer, contact our practice in Bismarck.
Cosmetic Dentistry
We offer a number of cosmetic dentistry treatments to improve your appearance. These treatments can be used to address flaws affecting a single tooth or to enhance the appearance of the entire smile. If you are self-conscious about stained, chipped, crooked, or misshaped teeth, Dr. Heringer can design a custom treatment plan to address your unique needs.
Veneers
Porcelain veneers are a great option for patients that want to dramatically improve the appearance of their teeth. A veneer is a thin, tooth-shaped prosthetic that can be placed on the front of an imperfect tooth, masking cosmetic concerns.
Dental Crowns
Dental crowns fully encase a damaged tooth to improve its health and appearance. At our Bismarck practice, we use porcelain crowns that are strong, durable, and natural-looking. If you have a tooth that needs extra support and protection due to large cavities, significant wear, chips, cracks, or root canal infection, a dental crown may be the most appropriate treatment option.
Smile Makeover
A smile makeover is a treatment plan that combines more than one procedure to transform your appearance. For example, we may combine teeth whitening, gum contouring, and veneers to address tooth discoloration, excess gum tissue, and minor misalignment issues all at once. There are many treatment combinations that can be customized to meet your unique goals.
Laser Dentistry
Advances in technology have resulted in more effective and comfortable dental treatment. For example, laser technology can be used to clean the teeth, contour the gums, reduce periodontal pockets, and prepare the teeth for restorative or cosmetic treatments. Dr. Heringer is proud that he was one of the first dentists to serve patients in Bismarck, Mandan, and surrounding areas by using lasers to enhance oral health and the overall dental experience.
Invisalign
Invisalign® is a popular orthodontic treatment because it straightens teeth with removable, clear aligners. The aligners move the teeth in gradual increments over a period of several months. Invisalign is more discreet, comfortable, and convenient than braces, and in the right cases, it can provide similar results.
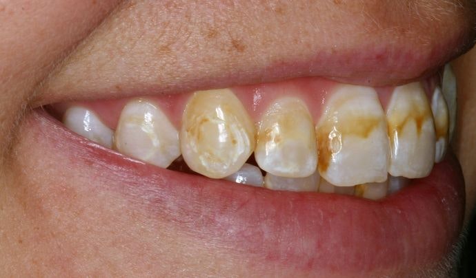
Beautiful and Natural-Looking Results Before and After Cosmetic Dentistry
Another Glowing Patient Review
“Dr. Heringer and his entire staff are highly focused on the patient from the minute you walk into the reception area until you are walking out the door. I’ve never had a more positive experience in a dental chair!”
— Dena, 5-Star Google Review
Dr. Everett E. Heringer
Our Complete Services
General Services
- Exams and Cleanings
- Family Dentistry
- Laser Dentistry
- Orthodontics
- Periodontal Care
- SomnoMed Snoring Mouthpiece
- TMJ Disorder Treatment
Curious About the Cost of Dental Care? Contact Us to Learn More
Many families in Bismarck and Mandan, ND, are concerned about the out-of-pocket costs of dental care. Reach out to our practice to find out if we accept your insurance and to ask about the cost of exams, cleanings, and other services. We offer a range of options to make care as affordable as possible on any budget, and we want to make sure that you understand and are comfortable with all costs upfront. You can get in touch with us online or call us at:
(701) 255-4850
Five Reasons to Visit Our Dentist Every Six Months
Good Oral Health Starts Early | We Care for Your Entire Family
Dr. Heringer is dedicated to providing compassionate and thorough care to your entire family. We begin treating our young patients as soon as they develop teeth, and we understand the unique dental needs of little ones. Dr. Heringer believes in the importance of instilling good oral health habits at an early age, so we take every measure to make sure your child has a good experience at the dentist.
We love Heringer Dentistry! They are always professional, knowledgeable, and offer awesome dental care. Dr. Heringer has been our family dentist for years; he is the best! - Patty Dwyer, 5-Star Google Review




















